Ir al contenido
Audiogroup
  • Inicio
  • Quiénes Somos
  • Productos
  • Laboratorio Técnico
  • Blog
Contáctenos
Contáctenos
Audiogroup
  • Inicio
  • Quiénes Somos
  • Productos
  • Laboratorio Técnico
  • Blog
Contáctenos
Contáctenos

BLOG

Como influye la vivienda en el desarrollo de hipoacusia en una persona

Como influye la vivienda en el desarrollo de hipoacusia en una persona

hipoacusia de conducción

Hipoacusia de conducción

Timpanometría y timpanómetro

Aspectos Claves de la Timpanometría

Nuevos estudios sobre la relación entre hipoacusia y demencia

Nuevos estudios sobre la relación entre hipoacusia y demencia

Vértigo y audición

La importancia del diagnóstico diferencial en pacientes con vértigo

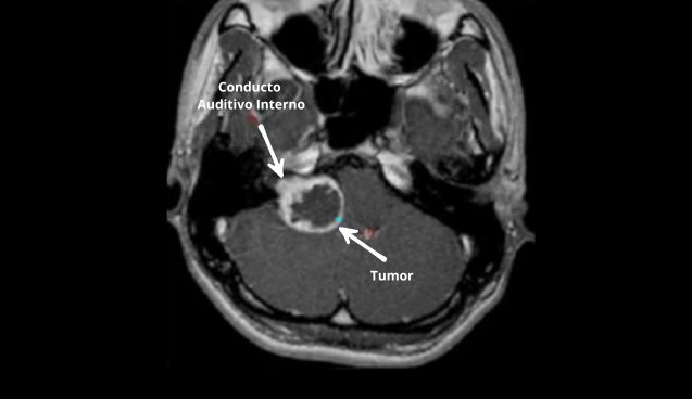
Neurinoma del acústico, tumores auditivos

Estrategias de abordaje de tumores que afectan la audición

Genética y su relación con la hipoacusia

Genética y su Relación con la Hipoacusia: Estrategias de Abordaje

Estigmas sociales sobre la hipoacusia y estrategias de abordaje

Audiometría

La audiometría como herramienta clave en la práctica audiológica: evaluación, interpretación y decisiones clínicas

Edad y salud auditiva

El factor biológico: edad y su influencia en la salud auditiva

Página1 Página2 Página3 Página4 Página5
  • Facebook
  • Instagram
  • Inicio
  • Quiénes Somos
  • Productos
  • Laboratorio Técnico
  • Blog

Guatemala: +502 3995 5374
Honduras: +504 9345 8936
Nicaragua: +505 5782 9000
Costa Rica: +506 8642 2484
Panamá: +507 6324 9094

Powered by Web Line World  | Copyright © 2026